Liu's Haematocyte Stain

Intended use:
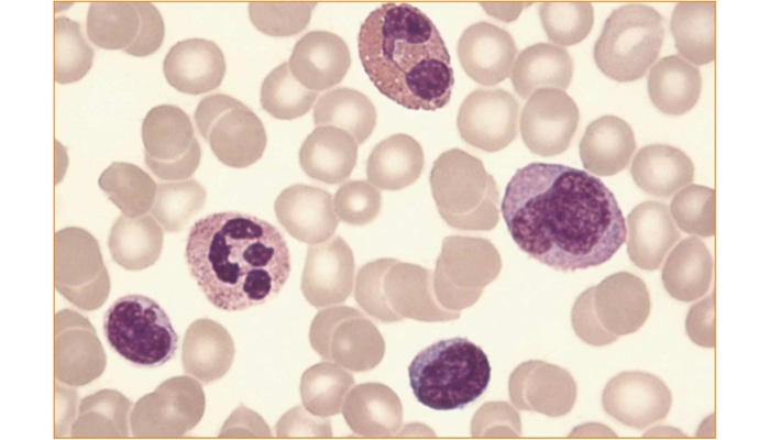
This kit is for classification of hematocytes.
Principle:
Liu’s Stain is modified from the Romanowsky Stain technique. Staining of cells involves physical adsorption and chemical affinity which allows stain to penetrate and remain within cells. Because each cell and its components are different in chemical composition, their affinity to acid stain (Eosin) and alkaline stain (Methylene blue) of this kit varies significantly. After staining the smear with the Liu’s Stain, different types of cells will appear in different colors. Consequently, one can identify cells based on their stain color, shape and other physical characteristics.
Methods:
Standard stain
1. Add Liu A Solution (about 0.5~0.8 ml) to stain for 30 seconds.
2. Drop Liu B Solution (twice of Liu A Solution) onto A Solution. Blow solutions with mouth or rubber pipette bulb
to mix thoroughly . Allow to stain for 90~120 seconds.
3. Rinse with water gently, dry and examine the finished slide under a microscope.
Rapid stain
1. After adding Liu A Solution (about 0.5~0.8 ml), immediately drop Liu B Solution (twice of Liu A Solution) onto
A Solution. Blow solutions with mouth or rubber pipette bulb to mix thoroughly. Allow to stain for 30~60
seconds.
2. Rinse with water gently, dry and examine the finished slide under a microscope.
Specifications:
| Contents | 6vials x20ml/kit | 4Btlsx250ml/kit | 4Btlsx250ml/kit | 4Btlsx250ml/kit | Components |
| Liu A Solution | 2x20ml | 2x250ml | 4x250ml | / |
Eosin, Methanol |
| Liu B Solution | 4x20ml | 2x250ml | / | 4x250ml | Methylene blue |
Precaution:
1. Cap the reagent bottle immediately after use to avoid vaporization.
2. Do not use the reagents beyond the stated expiration date. Store the kit in a cool dry place and avoid direct
sunlight.

